Сделаны фото атаки клеток COVID-19 под микроскопом
11.04.2020 в 07:45
653
0
Обновлено: 11.04.2020
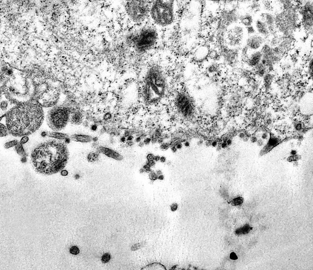
Фотографии сделаны электронным микроскопом во время репликации коронавируса и подробно показывают процесс заражения клеток.
Крупный исследовательский центр Бразилии Фонд Освальдо Круза показал фотографии процесса заражения клеток организма коронавирусом.На фото виден темный круг в центре. Это вирусная частица, которая атакует мембрану клетки. Далее показаны вирусные частицы после проникновения в клетку и их размножение внутри.


Сейчас читают
| Комментарии (0) |
Войдите, чтобы оставить комментарий.



